Sharing wellness stories from our children to yours. Serving the health needs for all children and families across 50 states and over 80 countries.

Departments
Clear
Departments

St. Louis Children’s Hospital Reaches Out to the Communities It Serves

In 2015, the St. Louis Children’s Hospital Specialty Care Center (CSCC) opened in west St. Louis County. In its first ...

Departments

Survey of Attending and Referring Physicians: Results Yield Overall High Ratings, Targets for Improvement

St. Louis Children’s Hospital (SLCH) recently conducted two physician surveys: one for referring physicians, another for attending physicians who were ...

Departments

From Sioux Falls to St. Louis: A Family Moves to be Near the Heart Center

The Heart Center has doctors who have answers, and that’s what I needed. ...

Departments

Emergency and Trauma Services Receives Reverification as a Level 1 ACS Trauma Center

The St. Louis Children's Hospital has maintained its position as an elite pediatric hospital as a verified Level 1 Pediatric ...

Departments

Discovery Advances Understanding of Pediatric Cardiomyopathy

In 2010, just two days before Christmas, Colleen and Mike Miller learned that their 6-month-old daughter, Layla, suffered from dilated ...

Departments

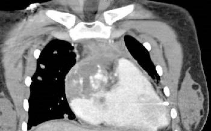
Case Study: Final Exam Stress

The following case study was used by Andrew J. White, MD, associate professor of pediatrics and division director of pediatric ...

Departments

EpicCare Link Provides Convenient, Secure Access to Patient Information

On June 2, St. Louis Children’s Hospital (SLCH) will launch Epic, a leading electronic health records (EHR) system, in which ...

Departments

SLCH Named National Leader in Health Care Equality

SLCH was named a national leader in providing non-discriminatory care to lesbian, gay, bisexual, transgender and queer (LGBTQ) patients and ...

Departments

Case Study: "Long Time Coming"

The following case study was used by Andrew J. White, MD, pediatric rheumatologist and director of the St. Louis Children’s ...